Suboxone

Suboxone
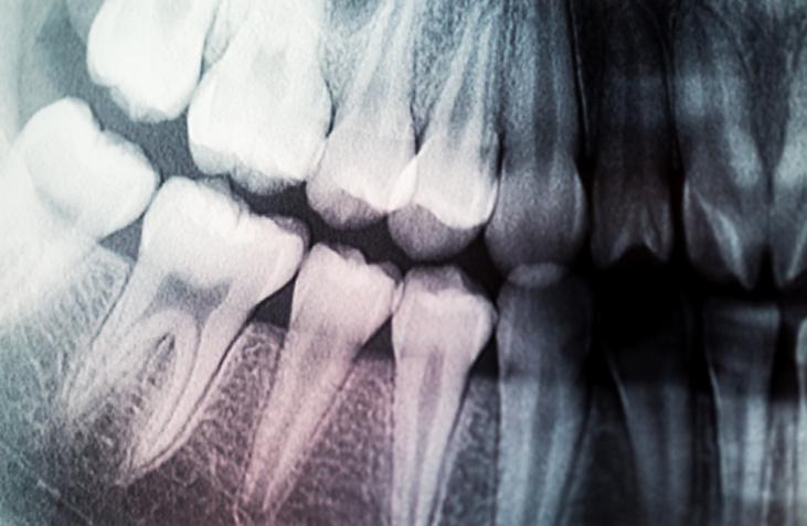
  • Suboxone is an opioid prescription used to treat opioid dependence. It can be used as an induction agent to stabilize someone in withdrawal during the medical detoxication process as well as for maintenance to promote recovery from opioid use disorder.
  • This drug has been found to cause several dental health issues including Severe Tooth Erosion, Dry mouth, Gum Problems, etc.

Please note that in some matters, Wolfe Legal may co-counsel or refer the case to another lawyer or law firm.

Testimonials

I have had the pleasure of working with Tami Wolfe on several matters through the years. Tami has represented me, my family, personal friends, and many of my clients. I can wholeheartedly recommend Tami Wolfe to represent you in your personal injury case. She is extremely knowledgeable in the field...

Karin Bayne

When you are presented with a challenging and difficult situation in personal injury you want only the best. Experience matters and who you hire matters. Tami is not only brilliant but strategic in working your case. Details are extremely important in cases and she gets all the discovery she needs...

Nikki Hanna

I can't say enough to express our gratitude to Tami for her professional yet personal handling of our case. Believe me, this is a pitbull in a prom dress. Loved working with her and would recommend her to one and all.

Drew Heitner

Get in Touch

  1. 1 Free Consultation
  2. 2 Decades of Experience
  3. 3 We Fight for You
Fill out the contact form or call us at (954) 591-5196 to schedule your free consultation.

Leave Us a Message